Texas surgeon noticing some post-COVID-19 lungs have more scar tissue than smokers’ lungs
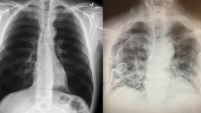
A surgeon in Texas revealed she’s seeing a pattern of lung scarring in some patients who have had COVID-19 that’s worse than what she sees in smokers’ lungs.
A surgeon in Texas revealed she’s seeing a pattern of lung scarring in some patients who have had COVID-19 that’s worse than what she sees in smokers’ lungs.
Disneyland vaccine distribution site closed on Tuesday, Jan. 19 due to high wind warnings
Health officials in Orange County announced the vaccine distribution site at Disneyland Resort will be closed on Tuesday, January 19 due to high wind warning issued for the area.
Health officials in Orange County announced the vaccine distribution site at Disneyland Resort will be closed on Tuesday, January 19 due to high wind warning issued for the area.
Biden team says Trump lift of ban on travel from Brazil, UK, Ireland amid COVID-19 surge in US won’t stand
In his final days in office, President Donald Trump issued a new proclamation on Monday lifting coronavirus-related bans on travel from Brazil, the United Kingdom, Ireland, and much of Europe as the U.S. inches towards 400,000 COVID-19 deaths.
In his final days in office, President Donald Trump issued a new proclamation on Monday lifting coronavirus-related bans on travel from Brazil, the United Kingdom, Ireland, and much of Europe as the U.S. inches towards 400,000 COVID-19 deaths.
California becomes first state to top 3 million virus cases
California has become the first state to record more than 3 million known coronavirus infections.
California has become the first state to record more than 3 million known coronavirus infections.
California probing separate coronavirus variant linked to large county outbreaks: officials
Scientists have discovered a new coronavirus variant in California, different than the variant that was found in the U.K.
Scientists have discovered a new coronavirus variant in California, different than the variant that was found in the U.K.
As COVID-19 deaths surge, Los Angeles County lifts limit on number of cremations
As the COVID-19 death rate in Los Angeles County continues to climb, county officials have issued an emergency order lifting environmental limits on the number of cremations that can be performed every month.
As the COVID-19 death rate in Los Angeles County continues to climb, county officials have issued an emergency order lifting environmental limits on the number of cremations that can be performed every month.
South Pasadena police assistant, 30, dies of COVID-19 complications
A 30-year-old police assistant with the South Pasadena Police Department died over the weekend from complications due to COVID-19, the department announced Monday.
A 30-year-old police assistant with the South Pasadena Police Department died over the weekend from complications due to COVID-19, the department announced Monday.
California official calls for pause on Moderna vaccine batch due to possible allergic reaction
California health officials are recommending providers pause the administration of a specific batch of the Moderna COVID-19 vaccine due to possible allergic reactions that are under investigation.
California health officials are recommending providers pause the administration of a specific batch of the Moderna COVID-19 vaccine due to possible allergic reactions that are under investigation.
Los Angeles expands COVID-19 care kit initiative to South LA and LA's Eastside
Los Angeles Mayor Eric Garcetti and Councilwoman Monica Rodriguez announced Monday the city is expanding its COVID-19 care kit initiative, which has been distributing supplies in the northeast San Fernando Valley.
Los Angeles Mayor Eric Garcetti and Councilwoman Monica Rodriguez announced Monday the city is expanding its COVID-19 care kit initiative, which has been distributing supplies in the northeast San Fernando Valley.
LAUSD superintendent asks for permission to administer COVID-19 vaccine at schools
Los Angeles Unified School District Superintendent Austin Beutner said Monday he has asked state and county health officials to allow the district to provide COVID-19 vaccinations at schools to expedite administration of the shots and speed a return to in-person classes.
Los Angeles Unified School District Superintendent Austin Beutner said Monday he has asked state and county health officials to allow the district to provide COVID-19 vaccinations at schools to expedite administration of the shots and speed a return to in-person classes.
California man allegedly lived in airport for months because he was afraid to fly: report
A California man who told police that the coronavirus pandemic left him afraid to fly has been arrested on charges that he hid in a secured area at Chicago’s O’Hare International Airport for three months.
A California man who told police that the coronavirus pandemic left him afraid to fly has been arrested on charges that he hid in a secured area at Chicago’s O’Hare International Airport for three months.
Still no second stimulus check? Here's how to get your money
Some who are still waiting for the money to arrive will need to file a tax return in order to receive the money.
Some who are still waiting for the money to arrive will need to file a tax return in order to receive the money.
Push to expand COVID-19 vaccinations for people aged 65 and older in LA County
Los Angeles County continued to make vaccinating health care workers and first responders against COVID-19 its first priority but two supervisors have called for the process to be quickly expanded to include people age 65 and older.
Los Angeles County continued to make vaccinating health care workers and first responders against COVID-19 its first priority but two supervisors have called for the process to be quickly expanded to include people age 65 and older.
Hundreds of children being admitted to Arizona hospitals for COVID-19
Children are being hospitalized for COVID-19 at record numbers in Arizona, according to a Banner Health spokesperson on Jan. 17. She backs up her claim with data that looked at trending numbers for several months in 2020.
Children are being hospitalized for COVID-19 at record numbers in Arizona, according to a Banner Health spokesperson on Jan. 17. She backs up her claim with data that looked at trending numbers for several months in 2020.
LA County reports 11,366 new COVID-19 cases, 108 more deaths
Los Angeles County reported 11,366 new cases of COVID-19 and 108 additional deaths on Sunday, bringing the county's totals to 1,014,662 cases and 13,848 fatalities.
Los Angeles County reported 11,366 new cases of COVID-19 and 108 additional deaths on Sunday, bringing the county's totals to 1,014,662 cases and 13,848 fatalities.
Garden Grove police lieutenant dies from complications of COVID-19
The Garden Grove Police Department is mourning one of their own after a lieutenant died from complications of COVID-19.
The Garden Grove Police Department is mourning one of their own after a lieutenant died from complications of COVID-19.
New COVID-19 strains shows possible 'resistance' to antibody, but not vaccines
President-elect Joe Biden’s nomination to head the CDC, Dr. Rochelle Walensky, said at least one new coronavirus strain has shown resistance to treatments - but insists the vaccines are still effective.
President-elect Joe Biden’s nomination to head the CDC, Dr. Rochelle Walensky, said at least one new coronavirus strain has shown resistance to treatments - but insists the vaccines are still effective.
In Depth: COVID-19 surge, stimulus, restaurants
Internist Dr. Michael Hirt joins Hal to talk about the surge of positive COVID-19 patients.
Internist Dr. Michael Hirt joins Hal to talk about the surge of positive COVID-19 patients.
Wrestlemania moves from SoFi Stadium to Tampa due to coronavirus pandemic
The 2021 edition of WrestleMania will be held at Raymond James Stadium in Tampa, Florida, instead of SoFi Stadium in Inglewood because fans are not allowed to attend sports and entertainment events in California due to the coronavirus pandemic, WWE announced Saturday.
The 2021 edition of WrestleMania will be held at Raymond James Stadium in Tampa, Florida, instead of SoFi Stadium in Inglewood because fans are not allowed to attend sports and entertainment events in California due to the coronavirus pandemic, WWE announced Saturday.
First confirmed case of U.K. coronavirus variant found in Los Angeles County
The Los Angeles County Department of Public Health has confirmed the first case of COVID-19 variant B.1.1.7. It is the same variant that was discovered in the United Kingdom.
The Los Angeles County Department of Public Health has confirmed the first case of COVID-19 variant B.1.1.7. It is the same variant that was discovered in the United Kingdom.




















