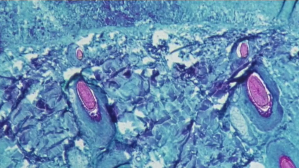
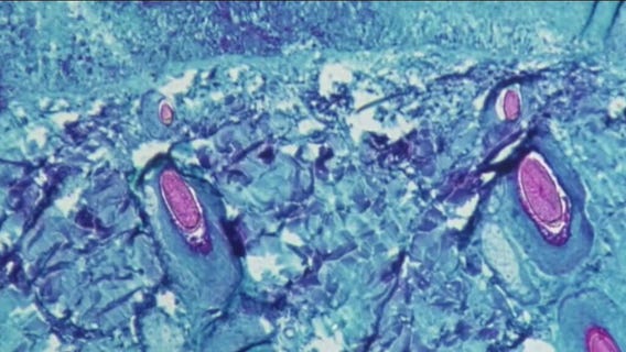
LA County confirms first suspected case of monkeypox in 2022
LA County has reported its first suspected case of monkeypox.
LA County has reported its first suspected case of monkeypox.
LA County reports 1st presumed case of monkeypox
According to health officials, the patient is an adult resident who recently traveled and had a known close contact to a case. The patient is experiencing symptoms but is "doing well and not hospitalized," officials added. The patient is isolated from others.
According to health officials, the patient is an adult resident who recently traveled and had a known close contact to a case. The patient is experiencing symptoms but is "doing well and not hospitalized," officials added. The patient is isolated from others.
First case of rare monkeypox reported in the US for 2022
A case of monkeypox in the U.S. was confirmed out of Massachusetts on Wednesday. This is the first case reported in the U.S. this year.
A case of monkeypox in the U.S. was confirmed out of Massachusetts on Wednesday. This is the first case reported in the U.S. this year.


