FAA warns of impacts to air travel during Great North American Eclipse
More than 30 million Americans are estimated to live in the path of totality, with many millions more expected to travel to the 15 states where the event will be visible. The FAA highlighted airports in Dallas, Indianapolis, and Cleveland as being at risk for delays during the eclipse.
2024 total solar eclipse: Why some states have issued warnings ahead of celestial event
So far warnings were issued in Oklahoma, Ohio and Indiana, advising residents to stock up on essentials such as food, gas and prescriptions. Several more governments are on alert as well.
Lunar eclipse happening ahead of April's total solar eclipse
A lunar eclipse always precedes or follows about two weeks before or after a solar eclipse.
Rare star explosion could be ‘once-in-a-lifetime viewing opportunity’
According to NASA, the nova explosion only occurs about every 80 years.
Aliens aren't coming to California. SpaceX launch leaves streak of light over LA skies
No, aliens aren't invading California. A streak of light and contail left by a SpaceX launch left people wondering if there was a UFO over Los Angeles.
Fake safety glasses left woman with permanent eye damage during 2017 solar eclipse, doctor says
The young woman's vision was 20/20 in the right eye and 20/25 in the left before the eclipse. Within four hours of looking at the sun, she said her vision was blurry and distorted in both eyes, and the only color she could see was black.
Whale washes ashore on Little Dume Beach in Malibu
California gray whales begin their migration north in mid-February and continue through early May. This is the third gray whale stranded on a SoCal beach so far this year.
Scientists find these 5 Taylor Swift songs created biggest 'SwiftQuakes' at one concert
Taylor Swift sent shockwaves around the world in multiple ways with her devoted fans and packed Eras concert tour venues. She also has been setting off so-called SwiftQuakes and now scientists know why.
Solar eclipse 2024: Why wearing red or green could enhance your solar eclipse experience
Choosing the right colors to wear won’t just be about looking good – there’s a science behind the reason why experts say you should think about wearing red or green.
Spring 2024 starts Tuesday: What to know about the vernal equinox
The spring equinox is almost here. In the U.S., get ready for earlier sunrises and later sunsets until the summer solstice in June.
The world’s largest ‘dark sky sanctuary’ is now in this US state
An area in the United States that is about one-half the size of New Jersey has become the largest dark sky sanctuary in the world.
Study reveals dogs can relieve stress, improve concentration in humans
A recent study published in the journal PLOS One suggests that certain activities might enhance individuals' brainwave patterns linked to rest and relaxation.
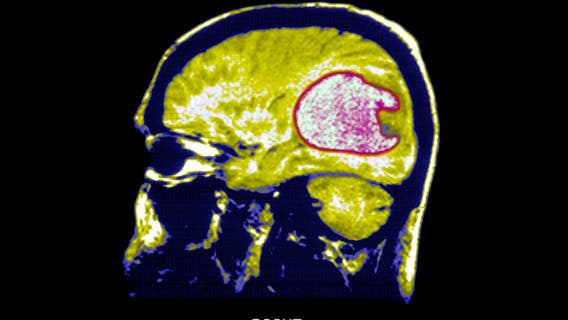
Scientists use new strategy to successfully shrink tumors in early brain cancer trials
Researchers converted immune cells from patients into "living drugs" with the ability to recognize and combat glioblastoma, a form of brain cancer.
San Pedro pelican found slashed in animal cruelty attack
"Blue" the pelican was found in San Pedro over the weekend with her pouch slashed by what officials believe to be a sharp object like a knife or machete.
Experienced surfer recounts 1st shark encounter in Hawaii: 'I was just in shock'
Experienced Hawaiian surfer Matthew White recounts his first shark encounter, despite 30 years of surfing, near Kaimana Beach.
Arizona couple finds rattlesnake in the backseat of the car
The woman thinks she was driving around with the snake in the back of her car for two weeks.
Bear gang steals trash can from Connecticut driveway
A trio of bears was up to no good on a Connecticut property.
California Super Bloom returns this spring
After a wet winter, Californians can expect to see another Super Bloom this spring.
The April solar eclipse is one month away: What to know now
The next solar eclipse should be visible from most of the U.S. Many people have started preparing already, but many more have not. Here’s what you need to know.
Fossil of ‘nightmarish’ sea reptile found in Morocco
The giant sea lizard had dagger-like teeth and was just one of the many apex predators hunting our oceans 66 million years ago.



















